Odontoiatria Pediatrica

Ci prendiamo cura del sorriso del tuo bambino

Odontoiatria Pediatrica


Il primo appuntamento dal dentista è probabilmente il più importante nella vita di un paziente. Nel nostro studio odontoiatrico applichiamo un approccio assolutamente atraumatico per i piccoli pazienti e cerchiamo di dare importanza alla prevenzione applicando tutti gli ultimi protocolli dell'Organizzazione Mondiale della Sanità. I bambini non vengono mai forzati ad eseguire il trattamento necessario, ma si cerca progressivamente di acquisirne la fiducia attraverso una comunicazione mirata che li porterà ad affrontare le terapie senza traumi o dolore.

Sigillature


La sigillatura dei primi molari permanenti è una procedura assolutamente atraumatica che rappresenta un'importante forma di prevenzione primaria della carie. Negli Stati Uniti questo presidio viene paragonato alla vaccinazione ed insieme all'uso di fluoro può aiutare ad allontanare quasi del tutto il rischio di carie. I vantaggi sono massimi entro i 14­-24 mesi dall'eruzione dei primi molari (5­6 anni), ma possono essere utili fino ai 10-­11 anni. Nei bambini con elevato rischio di carie si possono sigillare anche i secondi molari e i premolari.

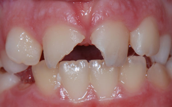
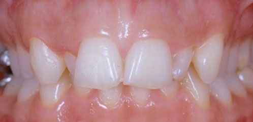
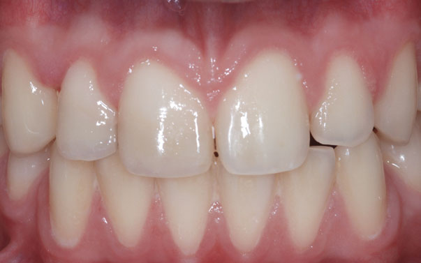
Fratture


Le fratture degli incisivi in età pediatrica sono le patologie più comunemente riscontrabili nei pazienti pediatrici. I materiali compositi di nuova generazione permettono ricostruzioni pressochè invisibili e durature nel tempo. Quando il bambino crescerà raggiungendo la maggiore età sarà possibile sostituire le ricostruzioni in composito con le faccette in ceramica che rappresentano il restauro più estetico e biomimetico disponibile in odontoiatria.

Ortodonzia


L'ortodonzia è quella branca dell'odontoiatria che si occupa dello studio, dello sviluppo e della crescita dell'apparato dento­maxillo­facciale e delle strutture ad esso correlate, dalla nascita alla sua maturità.
Comprende tutti i procedimenti preventivi, intercettivi e correttivi delle disgnazie, utilizzando dispositivi funzionali o meccanici (detti comunemente "apparecchi") al fine di stabilire normali relazioni anatomiche e funzionali dei denti e delle loro basi ossee.
Il risultato è quello di una corretta occlusione ed un soddisfacente aspetto estetico (con particolare attenzione all'allineamento). Lo studio dentistico Valenti utilizza le più moderne tecniche ortodontiche per la riabilitazione di pazienti adulti e pediatrici. Sono disponibili sia le più classiche apparecchiature fisse con i brackets o “placchette” che quelle rimovibili trasparenti come Invisalign. Invisalign rappresenta la più moderna tecnica di spostamento dentale e utilizza delle mascherine trasparenti realizzate attraverso un software molto sofisticato. Questo software si chiama clin­check e dà la possibilità al paziente e il dentista di previsualizzare il risultato al computer prima della produzione delle mascherine.
Il paziente cambia le mascherine ogni 2 settimane con una durata del trattamento variabile tra i 3 e i 18 mesi fino a quando i denti non sono allineati. L’ortodonzia viene utilizzata utilizzata anche in piani di trattamento che richiedono complesse riabilitazioni interdisciplinari con intervento di terapie chirurgiche, implantari, parodontali e protesiche

Your browser is out-of-date!

Update your browser to view this website correctly. Update my browser now

×